Call Us: +011-26442130, 41621353

TREATMENTS

home → Treatments

Bridges are fixed, or non-removable prosthesis constructed to replace one or more missing teeth. The teeth on both sides of the existing space are used to attach the bridge to restore functionality and esthetics. Materials used for this process are noble alloys, porcelain or porcelain fused to metal. Bridges are indicated whenever at least one tooth is missing. A bridge is composed of abutments and pontics. Abutments are the supports for the bridge and consist of crowns placed on the teeth surrounding the empty space. The pontics are special crowns that span across the empty space and connect to the abutments.
BRIDGES
If you are conscious of smiling just because you have stained yellow teeth… teeth whitening is the solution.

Myth: Whitening of teeth removes/destroys enamel layer of the teeth Fact: Teeth Whitening is an oxidation process where free oxygen attach to the stains causing them to disappear. It does not affect or erode the enamel layer. It has no side effects. Time Taken- As less as one hour/ instant teeth whitening

WHY BLEACHING TREATMENT AT L. Gela Ram Memorial Dental Clinic? Fastest teeth whitening/ Instant teeth whitening of teeth laser bleaching no sensitivity
BLEACHING
Bone grafts help to regenerate bone in areas in which bone loss has occurred or bone has atrophied. This can happen in areas of the jawbone when teeth have been missing for a period of time or due to other conditions that affect bone strength.In bone graft procedures, bone from another part of the body, or a natural or synthetic substitute, is implanted in the area of weak or missing bone. The implanted bone graft strengthens the area, and also promotes new natural bone growth around the area of the graft. As new bone growth occurs, it forms and often covers much of the grafted bone material, further increasing the strength of the grafted bone.Bone grafting is typically done in order to allow for proper placement of dental implants. Since dental implants cannot be properly attached to weak or missing bone, we can perform bone graft procedures to strengthen the area in order to suitably accept dental implants. Bone grafting also helps to maintain proper oral functioning, as well as to improve the aesthetic appearance of the mouth and face.
BONE-GRAFTS
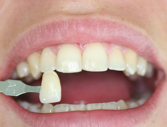
A dental crown is also sometimes referred to as a 'cap'. It is custom - made in a dental laboratory by a skilled technician to be an exact fit for your tooth.

TYPES OF CROWNS-:

1) Zirconia crowns and Bridges are designed to look and feel like beautiful natural teeth. Benefits:
  • Precision CAD/CAM system for outstanding marginal fit and superior fit relative to leading competition.
  • Proven high strnght performance - 1440 mpa 3-pt. bend strength.
  • Natural translucency and unmatched asthetics.
  • All ceramic and metal free.
  • Remarkable strength (greater than 1000 mpaand strong enough for clinical situatyions with small occusal reduction of 1.2mm).
  • Excellent marginal fit.

2) Porcelain-Fused-to-Metal Crowns
Porcelain-fused-to-metal dental crowns (PFMs) have a metal shell on which is fused a veneer of porcelain in a high heat oven. The metal provides strong compression and tensile strength, and the porcelain gives the crown a white tooth-like appearance, suitable for front teeth restorations. These crowns are often made with a partial veneer that covers only the aspects of the crown that are visible. The remaining surfaces of the crown are bare metal. A variety of metal alloys containing precious metals and base metals can be used. The porcelain can be color matched to the adjacent teeth.

3) Alumina Crowns
More recently alumina core have been constructed with a CAD/CAM dentistry technique where a oversized core is milled from a pre-sintered block of Al2O3. The block is sintered and shrinks to the correct size. This alumina core can be layered with feldspathic ceramics to make a true to life color and shape.
DENTAL-CROWNS
Dental Implants act as artificial tooth root. They are made of sterile titanium cylinders, and recommended by dentists for a variety of functions. Depending on your needs and condition, dental implants can replace one or more teeth without affecting adjacent teeth, as well as provide support for a bridge, eliminating the need for a removable, partial denture.Dental implants will not only help you teeth function better, such as chewing, but overall improve your facial appearance. In turn, your smile will look fantastic! We at centre for advanced dentistry agree that the best candidates for dental implants are those in good oral health, with healthy gum tissue, free from periodontal disease, and sufficient underlying bone.
DENTAL-IMPLANTS

Laser dentistry can be an effective method of performing highly targeted dental procedures, while offering faster recovery times and minimized discomfort.

Types of Laser Dentistry Procedures
There are two primary types of laser dental procedures performed in our office - hard tissue laser dentistry, which is performed on teeth, and soft tissue laser dentistry, which is performed on gums. Dental lasers can be used in both general dentistry procedures as well as cosmetic dentistry procedures. There are also other uses for dental lasers that serve to improve oral health.

• Hard Tissue Laser Dentistry - Hard tissue laser dentistry can aid in the early detection of cavities and decay. In addition to early detection, dental lasers can be used to prepare teeth for dental fillings with minimized discomfort and can also effectively treat tooth sensitivity by sealing the tubules that are responsible for teeth being sensitive to hot or cold temperatures.

• Soft Tissue Laser Dentistry - Soft tissue laser dentistry is especially useful in cosmetic-related gum treatments. Dental lasers can reshape gum tissue (crown lengthening) and can easily remove soft tissue folds or muscle attachment to the gums (known as the frenula).

• Laser Teeth Whitening - One of the most widely used procedures involving dental lasers in our rajdhani dental office is laser teeth whitening. laser teeth whitening is a quick and easy way to a brighter smile. It can be performed in a single office visit and is more convenient and effective than at-home teeth whitening kits. During the laser tooth whitening procedure, a special light-activated whitening agent is applied to the teeth and a laser light is then used to activate the agent in order to bleach the organic part of the tooth enamel. Our laser teeth whitening patients notice results from this procedure almost immediately.

• Laser Dentistry Benefits Some of the benefits of laser dentistry include minimized bleeding (dental lasers aid in coagulation), less chance of damage to surrounding tissue, and reduced opportunity for bacterial infections to develop (the laser sterilizes the area). Laser dentistry also allows tissues to regenerate and wounds to heal faster. Many dental procedures that traditionally require sutures can be performed without the need for stitches using laser dental procedures. Laser dentistry also can often be performed without the need for anesthesia. Most procedures utilizing dental laser technology result in less pain and quicker recovery times than that experienced in more traditional dental procedures.Treatment for hypersensitive teeth.

LASER-DENTISTRY

Though the priority is always to save the tooth but sometimes due to following reasons it is advised for extraction and then replacement afterwards:-

  • Grossly decayed with very brittle tooth structure left.
  • Infected root pieces left.
  • Grade III mobile tooth that can't be saved by splinting.
  • Wisdom tooth-infected or impacted. Nowadays with every effective local anesthesia and fine forceps and elevators, the extractions are not only painless but no more fearful.
EXTRACTION-OF-TEETH

Pediatric Dentistry is the branch of dentistry dealing with children from birth through adolescence. This discipline focuses intimately on pediatric/adolescent growth and development, disease causality and prevention, child psychology and management, and all aspects of the highly specialized Pediatric restorative techniques and modalities. Pediatric Dentists also super-specialize in the care of 'special needs' patients, such as people with cerebral palsy, mental retardation and autism.

Common Patient Terminology - Pulpotomy, pulpectomy, space maintainer, steel crowns, braces etc. It is very important that children are made aware about their dental health and also it is equally important to inculcate in them, a positive attitude towards dental treatment so that they don't consider it fearful but good for them. They will be more comfortable in getting the treatment done positive attitude.

Pit and Fissure Sealants
At the age of six years, permanent molar erupts in children. The deep grooves are prone to caries. In case of children, these grooves can be sealed in order to prevent decay. This is called Pit and Fissure Sealants treatment for children.

Dental Care for Children
You should always clean your infant's gums after feeding. Gums should be wiped with a clean, damp cloth or gauze pad. Parents should brush children's teeth daily with a soft wet toothbrush and a pea sized amount of fluoride toothpaste. When children are very young it is necessary to supervise their brushing to ensure proper brushing habits are adopted. Your dentist will probably recommend regular fluoride treatments which will strengthen enamel and help your child's teeth resist decay. To prevent your child suffering from nursing bottle mouth, you must give your baby a bottle at nap or bed time. Fill the bottle with plain water and not milk, formula or juice.

Space Maintainer :
A Space maintainer is an appliance used to maintain the space of a prematurely lost Milk tooth until the eruption of the permanent Tooth. This will prevent later space problems and reduces the possibility of the need for orthodontic treatment.

EXTRACTION-OF-TEETH

Bonding & Tooth Colored Filling. (Building Fracture tooth, Visible Gap Closure).

A composite Bonding (tooth colored) filling is used to repair a tooth that is affected by decay, cracks, fractures, etc. The decayed or affected portion of the tooth will be removed and then filled with a composite filling.

There are many types of filling materials available, each with their own advantages and disadvantages. You and doctor can discuss the best options for restoring your teeth. Composite fillings are the most widely used today. Because composite fillings are tooth colored, they can be closely matched to the color of existing teeth, and are more aesthetically suited for use in front teeth or the more visible areas of the teeth.

How are composite fillings placed?
Composite fillings are usually placed in one appointment. While the tooth is numb, your dentist will remove decay as necessary. The space will then be thoroughly cleaned and carefully prepared before the new filling is placed. If the decay was near the nerve of the tooth, a special medication will be applied for added protection. The composite filling will then be precisely placed, shaped, and polished, restoring your tooth to its original shape and function. You will be given care instructions at the conclusion of your treatment. Good oral hygiene practices, eating habits, and regular dental visits will aid in the life of your new fillings.

You will be given care instructions at the conclusion of your treatment. Good oral hygiene practices, eating habits, and regular dental visits will aid in the life of your new fillings.

You will be given care instructions at the conclusion of your treatment. Good oral hygiene practices, eating habits, and regular dental visits will aid in the life of your new fillings.

COMPOSITE-BONDING

Fiber Splinting

Trauma to the teeth can be transmitted to the supporting structures, which get damaged. This can cause mobility of the teeth. Such mobile teeth may require splinting for a specified period of time till the supporting tissues heal and the tooth becomes stable.

Splinting is a procedure where the teeth are supported in its position for a period of time. This is done to teeth that are traumatized or teeth whose supporting structures are affected by disease, which prevents them from supporting the teeth. Splinting involves binding a group of teeth together so that the biting forces are shared by a large number of teeth instead of being born by the affected tooth.

Extremely thin fiber-glass band (0.05 mm / .0019") to be used with our Fiber-Bond or any light-cured bonding agents. The band is 4mm wide, which gives 30% more adhesion power to the interdental area. Indicated for periodontally loosened teeth, post-traumatic mobility, surgical reimplantation, or even to reinforce temporary bridges. It can also be used as splinting material for orthodontic stabilization. Strength with a certain degree of flexibility and "tooth hugging" quality combine for an overall aesthetic and functional result. Minimum tooth preparation.

MOBILE-TEETH-TREATMENT

We offer orthodontics services for both children and adults. Our services involve proper recording of data and observations, treatment planning and then the execution of various treatment procedures. Various transparent invisible fiber braces are offered that help achieve excellent results. At the completion of the orthodontic treatment, the braces are removed and retaining appliances (retainers) are fitted to hold the teeth steady in their new position. These appliances may be removable plates or wires fitted behind the teeth.

Treatment Process: If the patient decides to proceed with treatment, an appointment is made to collect records.
Taking Records: Used to record the existing malocclusion for future reference.
Planning of Treatment: Discussion of treatment plans based on the information of consultation and other records.
Extractions and other Pre Treatment Procedures: Removing, cleaning and filling of teeth before the start of orthodontic treatment.
Putting on Braces: An efficient and accurate way of moving teeth, bands, brackets and wires commonly known as braces are made of stainless steel.
Time Period of Treatment: Orthodontic treatment takes 18 to 24 months. However total treatment depends on the severity of the original malocclusion and the type of services opted by clients.

CLEAR PATH ALIGNER
Invisible braces or clear path aligner is a great treatment option for people who do not have severe problems and are concerned with esthetics during the treatment. Instead of bonding brackets to the tooth, a series of strong plastic trays are fabricated.

Each tray is made to move your teeth slightly and is worn for a few weeks. Once its determined that your case can be treated with clearpath, the most important consideration is your cooperation. They must be worn for at least 18 hours a day in order to achieve results.

ORTHODONTICS-TREATMENT

Oral and Maxillofacial Surgery is a specialty of dentistry that includes the diagnosis and surgical treatment of diseases, injuries and defects involving both the hard and soft tissues of the head, mouth, teeth, gums, jaws and neck. It involves, but is not limited to wisdom teeth removal, apicoectomy, TMJ disorder, facial trauma, corrective jaw surgery, oral pathology, dental implants and bone grafts.Many surgical procedures are being carried out with the suitable laser.

ORAL-MAXILLOFACIAL-SURGERY

A denture is a removable replacement for missing teeth and surrounding tissues. Two types of Denture are available - complete and partial dentures. Complete dentures are used when all the teeth are missing, while partial dentures are used when some natural teeth remain.

Complete Dentures
Complete dentures can be either "conventional" or "immediate." Made after the teeth have been removed and the gum tissue has begun to heal, a conventional denture is ready for placement in the mouth about 8 to 12 weeks after the teeth have been removed.

Unlike conventional dentures, immediate dentures are made in advance and can be positioned as soon as the teeth are removed. As a result, the wearer does not have to be without teeth during the healing period. However, bones and gums shrink over time, especially during the healing period following tooth removal. Therefore a disadvantage of immediate dentures compared with conventional dentures is that they require more adjustments to fit properly during the healing process and generally should only be considered a temporary solution until conventional dentures can be made.

Partial Dentures
A removable partial denture or bridge usually consists of replacement teeth attached to a pink or gum-colored plastic base, which is connected by metal framework that holds the denture in place in the mouth. Partial dentures are used when one or more natural teeth remain in the upper or lower jaw. A fixed (permanent) bridge replaces one or more teeth by placing crowns on the teeth on either side of the space and attaching artificial teeth to them. This "bridge" is then cemented into place. Not only does a partial denture fill in the spaces created by missing teeth, it prevents other teeth from changing position. A precision partial denture is removable and has internal attachments rather than clasps that attach to the adjacent crowns. This is a more natural-looking appliance.

PARTIAL-COMPLETE-DENTURES

Don't Fear get Painless Root canal In one setting :-
After a Root canal Treatment performed by L. Gela Ram Memorial Dental Clinic In house Doctor; patient always have the reaction : "wow ! that was quick and so comfortable."

  • A Deep Infection
    Root canal treatment is needed when an injury or a large cavity hurt the tooth's root. The root becomes infected or inflamed.
  • A Route to the Root
    The dentist numbs the tooth. An opening is made through the crown of the tooth to the pulp chamber.
  • Removing the Infected/Inflamed Tissue
    Special files are used to clean the infection and unhealthy pulp out of the canals. Then they shape the canals for the filling material. Irrigation is used to help clean the canals and remove debris.
  • Filling the Canals
    The canals are filled with a permanent material. Typically this is done with a material known as gutta-percha. This helps to keep the canals free of infection or contamination.
  • Rebuilding the Tooth
    A temporary filling material is placed on top of the gutta-percha to seal the opening. The filling remains until the tooth receives a permanent filling or a crown. A crown, sometimes called a cap, looks like a natural tooth. It is placed over the top of the tooth.
  • Extra Support
    In some cases, a post is placed into the root next to the gutta-percha. This gives the crown more support.
  • The Crowning Touch
    The crown is cemented into place.
ROOT-CANAL-TREATMENT

When you can't smile with confidence, many aspects of your life can be negatively affected. Not only will you lack self-assurance, you may also provide others with an inaccurate first impression of yourself. That's because people naturally react in a positive way to bright, friendly smiles. When you are afraid to show your teeth, you may be suggesting to people that you are less warm and engaging than you truly are. In contrast, a healthy and beautiful smile will draw people to you while enhancing your natural beauty and significantly boosting your confidence.

It's an unfortunate reality that teeth do not always grow or remain as straight and perfect as we would like. Also, even when we take good care of our teeth and mouth, dental problems may still arise. However, with the help of cosmetic dentistry, we can remedy medical and aesthetics flaws and enjoy beautiful, healthy, attractive smiles. Whether you have uneven spacing between your teeth, have lost a tooth due to trauma or decay or have another dental problem, cosmetic dentistry services can improve your health as well as your appearance and self-confidence by rejuvenating and revitalizing your smile.

Cosmetic dentistry involves the use of special reconstruction and restorative techniques to improve the appearance and functionality of teeth. Such procedures can be sought for both medical and purely aesthetic reasons and can be used to correct everything from minor flaws to major structural issues. For example, cosmetic dentistry services include teeth whitening for the removal of stains and discoloration as well as porcelain veneers for badly discolored or chipped teeth. Cosmetic dentistry procedures used to correct more significant dental issues include non-metal restorations for the repair of damaged teeth, dental implants to replace missing teeth and full mouth reconstruction.

No matter which particular treatment or procedure is right for you, cosmetic dentistry can take all of the embarrassment and anxiety out of showing your teeth and allow you to show your smile and your spirit with confidence.

Smile Analyse For Need Of Cosmetic Dentistry

Sometimes, even after a thorough research, you might still be confused regarding the state of your smile, whether you actually need a smile design consultation. Here is a simple questionnaire to make it easier for you to decide whether you actually need a smile enhancement procedure.

Stand in front of the mirror, observe your smile and answer these simple questions.

Are your two upper front teeth too long or too wide ?

Do you observe any spaces between your front teeth ?

Do you notice any stains on your teeth ?

In a broad smile, are any of your teeth of a different colour ?

Are any of your front teeth overlapping each other ?

Do any of your front teeth 'stick out' ?

Are your lower six front teeth crooked and uneven in appearance ?

If there are any fillings in your front teeth, are they of a different colour than your natural teeth ?

Do your crowns / fillings / laminates look artificial ?

When you smile broadly, do you feel that too much of your gums show ?

Do you see or feel a 'V' like erosion on the necks of any of your teeth ?

Do your gums curve around your teeth in any other shape than a 'half moon shape' ?

Do you feel your gums are red and swollen ?

Do you get conscious while smiling naturally or while smiling for photographs for any reason ?

Do you feel your smile appears unaesthetic for any other reason ?

If you have answered a 'Yes' to any of the above the questions you could consider visiting to L. Gela Ram Memorial Dental Clinic.

SMILE-MAKEOVER-SMILE-DESIGNING-SMILE-ANALYSIS

Gum contouring is a valuable tool that a cosmetic dentist uses to help create a gorgeous and beautiful smile. The lips and gums act as a frame for a patient's smile. Healthy gums are a very important part of a pleasant appearence. It's not just the teeth that look beautiful, it's the combination of everything that is seen in the smile. When there is too much gum, it gives the patient an unattractive gummy smile even if the teeth are wonderfully aligned and proportioned well. There is more to a smile than just teeth!

During cosmetic gum contouring, gingivectomy and gingivoplasty are used and a beautiful smile is usually achievable. A gingivectomy only involves excess gum removal and can often be performed if there is a small excess of gum tissue. However, with a bigger problem, the gum tissue still looks bulky and too thick after the gingivectomy procedure. Healthy gums appear thin and thicken as they move away from the teeth. Gingivoplasty is the procedure used to thin gum tissues that are too thick.

Crown lengthening is a more extensive procedure than simple gum contouring and must be well planned. If there is too much bone underneath the gums and this bone has to be removed to create a beautiful contour, then crown lengthening is performed. This procedure involves removing and/or contouring both the gum tissues and underlying bone. In most cases, it is used to lengthen the appearance of previously short teeth and to prepare for porcelain veneers or all porcelain crowns.

GUM-CONTOURING-FOR-GUMMY-SMILE-GINGIVOPLASTY

A beautiful smile can open doors and knock down barriers that stand between you and a truer, richer, fuller life.

Porcelain veneers, also known as porcelain laminates, are thin shells of porcelain applied to the front of the teeth to hide imperfections. Dental veneers are custom-designed shells of tooth-like ceramic material that, when applied over the surface of a tooth, can cover worn tooth enamel, uneven tooth alignment or spacing and chips or cracks. Dental veneers fall into the category of cosmetic dentistry because they create a bright, white smile with beautifully aligned, shapely teeth. Even better, the translucent ceramic quality of today's veneers provides a more natural look than what's been available in the past. They are often called asINSTANT ORTHODONTICS.

Permanently Aesthetic
A flawless, beautifully white front of teeth is something many of our patients aspire for. This can become a reality, with veneers, the smooth alternative to crowns.

Slightly rotated teeth Slightly distorted teeth

Spaces between teeth Gaps between teeth

Strongly coloured teeth Strong colourings of teeth

Repeated bleaching treatments without visible effect Repeated brightening treatments without visible effect

The colour of the ultra-thin ceramic veneers is agreed on with the patient. Then the veneers are bonded to the tooth and cover the visible part of it. The new cover is translucent and gives you a natural smile.

Great care is placed on the right choice of colour to create a natural smile. Also in this you can perfectly rely on the experienced dentists at the clinic who will always find the right tone for your teeth that matches best with the colour of your skin. You will look self-confident and natural.

Applying veneers is done with leading edge technology and minimal grinding of the teeth. This process saves the teeth to a much greater extent, compared to the application of crowns, as much less of the tooth is ground away. The dental laboratory produces a perfect veneer which is applied to the tooth under permanent observation of the accuracy of fit.

DENTAL-PORCELAIN-VENNERS-OR-PORCELAIN-LAMINATES

Crowns: 5 year free replacement warranty

Bridges: 5 year free replacement warranty.

Nobel Biocare (2 stage) dental implants: 5 year free replacement warranty.

Root canal treatments: 5 year warranty.

Fillings: 3 year warranty

Ceramic Veneers: 3 year free replacement warranty.

DENTAL-TREATMENTS-WITH-WARRANTY